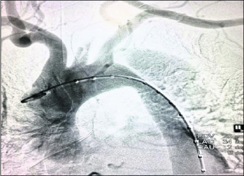
ଭୁବନେଶ୍ୱର, ୩।୨(ବ୍ୟୁରୋ):କିମ୍ସ-ଭୁବନେଶ୍ୱରରେ ହାଇବ୍ରିଡ୍ ଅସ୍ତ୍ରୋପଚାର ସଫଳ ହୋଇଛି। ଓଡ଼ିଶାରେ ପ୍ରଥମଥର ଲାଗି ହାଇବ୍ରିଡ୍ ଅସ୍ତ୍ରୋପଚାର କରାଯାଇଥିବା ସମ୍ପୃକ୍ତ ଡାକ୍ତରମାନେ ଦାବି କରିଛନ୍ତି। ନିକଟରେ କଟକ ଜିଲା ବାଙ୍କୀ ବ୍ଲକ୍ ଅନ୍ତର୍ଗତ ରତାଗଡ଼ ଗ୍ରାମର ୫୦ବର୍ଷ ବୟସ୍କା ସୁଷମା ରଣାଙ୍କ ମୁଖ୍ୟ ରକ୍ତନଳୀରେ ଏହି ଅସ୍ତ୍ରୋପଚାର କରାଯାଇଛି। ପିଠିର ଉପରିଭାଗ ଓ ଛାତିରେ ଅସହ୍ୟ ଯନ୍ତ୍ରଣା ଅନୁଭବ କରିବାରୁ ସେ ଡାକ୍ତରଙ୍କ ସହ ପରାମର୍ଶ କରିଥିଲେ। ବିଭିନ୍ନ ଡାକ୍ତରଖାନାକୁ ଯାଇ ଚିକିତ୍ସିତ ହୋଇଥିଲେ ମଧ୍ୟ କୌଣସି ସୁଫଳ ନ ମିଳିବାରୁ ଶେଷରେ ସୁଷମା ଗତ ୧୮ ତାରିଖରେ କିମ୍ସ ହୃଦ୍ରୋଗ ବିଭାଗ ଡାକ୍ତରଙ୍କ ସହ ପରାମର୍ଶ କରିଥିଲେ। ବିଭିନ୍ନ ପରୀକ୍ଷା ନିରୀକ୍ଷା ପରେ ସୁଷମାଙ୍କ ହୃତ୍ପିଣ୍ଡରୁ ବିଭିନ୍ନ ଅଙ୍ଗ ପ୍ରତ୍ୟଙ୍ଗକୁ ରକ୍ତ ସଞ୍ଚାଳନ ହେଉଥିବା ମୁଖ୍ୟ ରକ୍ତନଳୀ ଫାଟିଯାଇ ଇଣ୍ଟରନାଲ୍ ବ୍ଲିଡିଂ ହେଉଥିବା ଜଣାପଡ଼ିଥିଲା। ତେଣୁ ତୁରନ୍ତ ତାଙ୍କର ହାଇବ୍ରିଡ୍ ଅସ୍ତ୍ରୋପଚାର ପାଇଁ ଡାକ୍ତର ନିଷ୍ପତ୍ତି ନେଇଥିଲେ। ପ୍ରଥମେ କିମ୍ସର କାର୍ଡିଓଥୋରାସିସ୍ ଓ ଭାସ୍କୁଲାର ସର୍ଜରି (ସିଟିଭିଏସ୍) ବିଶେଷଜ୍ଞ ଡା. ଏ. ଶାରଦା ଏବଂ ଡା. ଚନ୍ଦନ କୁମାର ରାୟମହାପାତ୍ରଙ୍କ ନେତୃତ୍ୱରେ ତାଙ୍କର ବାଇପାସ୍ ଅସ୍ତ୍ରୋପଚାର କରାଯାଇଥିଲା। ଏଥିରେ ମୁଖ୍ୟ ରକ୍ତନଳୀରୁ ବାମ ହାତ ଓ ମସ୍ତିଷ୍କକୁ ରକ୍ତ ସଞ୍ଚାଳନ କରୁଥିବା ରକ୍ତନଳୀ ସହ ଦୁଇଟି ନଳୀ ସଂଯୋଗ କରାଯାଇଥିଲା। ପରେ ହୃଦ୍ରୋଗ ବିଶେଷଜ୍ଞ ଡା. ଅନୁପମ ଜେନାଙ୍କ ଦ୍ୱାରା ଷ୍ଟେଣ୍ଟି କରାଯାଇ ମୁଖ୍ୟ ରକ୍ତନଳୀର ଫାଟି ଯାଇଥିବା ସ୍ଥାନକୁ ବନ୍ଦ କରାଯାଇଥିଲା। ନିଶ୍ଚେତକ ବିଶେଷଜ୍ଞ ଡା. ଅଶୋକ କୁମାର ବଡ଼ମାଳିଙ୍କ ସହାୟତାରେ ଏହି ହାଇବ୍ରିଡ୍ ଅସ୍ତ୍ରୋପଚାର ୪ରୁ ୫ଘଣ୍ଟା ସମୟ ଲାଗିଥିଲା ବୋଲି ଡା. ଜେନା କହିଛନ୍ତି। ଏହାର ତୁରନ୍ତ ଅସ୍ତ୍ରୋପଚାର କରାଯାଇ ନ ଥିଲେ ହୃଦ୍ଘାତ, ମସ୍ତିଷ୍କାଘାତ, ଯକୃତ ଅକାମୀ, ଅଗ୍ନାଶୟରେ ସମସ୍ୟା ଭଳି ଗୁରୁତର ସମସ୍ୟା ଦେଖା ଦେଇଥାନ୍ତା ଏବଂ ଜୀବନ ପ୍ରତି ବିପଦ ରହିଥାନ୍ତା। ଏଭଳି ହାଇବ୍ରିଡ୍ ଅସ୍ତ୍ରୋପଚାର ପାଇଁ ସାଧାରଣତଃ ୧୪ରୁ ୧୫ଲକ୍ଷ ଟଙ୍କା ଖର୍ଚ୍ଚ ହେଉଥିବା ଓ ଏଥିପାଇଁ ରୋଗୀକୁ ଓଡ଼ିଶା ବାହାରକୁ ଯିବାକୁ ପଡ଼ୁଥିବାବେଳେ କିମ୍ସରେ ରାଜ୍ୟ ସରକାରଙ୍କ ବିଏସ୍କେୱାଇରେ ମାତ୍ର ୬ଲକ୍ଷ ୫୦ ହଜାର ଟଙ୍କାରେ ସୁଷମାଙ୍କର ଅସ୍ତ୍ରୋପଚାର କରାଯାଇପାରିଲା। ଅସ୍ତ୍ରୋପଚାରର ୫ଦିନ ପରେ ସୁଷମା ସୁସ୍ଥ ହୋଇ ଘରକୁ ଫେରିଛନ୍ତି ବୋଲି ଡା. ଜେନା ସୂଚନା ଦେଇଛନ୍ତି। କିମ୍ସର ଡାକ୍ତରଙ୍କ ଚିକିତ୍ସା ଯୋଗୁ ତାଙ୍କର ଜୀବନ ବଞ୍ଚିଗଲା ବୋଲି ସୁଷମା କହିଛନ୍ତି।

