ବର୍ତ୍ତମାନ ସମଗ୍ର ବିଶ୍ୱ କରୋନା କବଳିତ। ଲୋକେ ଏଥିରୁ ନିସ୍ତାର ପାଇବା ପାଇଁ ବାଟ ଖୋଜୁଛନ୍ତି। ଚାଇନାର ଉହାନ ସହରରୁ ଆରମ୍ଭ ହୋଇଥିବା ଏହି ଭାରରସ୍ ବିଶ୍ୱରୁ କେବେ ମୂଳପୋଛ ହେବ ସେ ନେଇ ସମସ୍ତେ ଚିନ୍ତାରେ। ଠିକ୍ ଏହି ସମୟରେ ଚାଇନାରେ ପୁଣି ଏକ ଘଟଣା ସାମ୍ନାକୁ ଆସିଛି। ଏଠାକାର ଜଣେ ବ୍ୟକ୍ତିଙ୍କୁ ଅଧା ସିଝା ମାଛ ଖାଇବା ମହଙ୍ଗା ପଡ଼ିଛି।

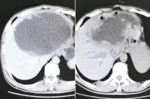
ଏକ ରିପୋର୍ଟ ଅନୁଯାୟୀ, ଚାଇନାର ହାଙ୍ଗଝୁରେ ରହୁଥିବା ୫୫ ବର୍ଷୀୟ ଜଣେ ବ୍ୟକ୍ତିଙ୍କୁ ଅଧା ରନ୍ଧା ମାଛ ତରକାରୀ ଖାଇବା ମହଙ୍ଗା ପଡ଼ିଛି। ପେଟରେ ଦରଜ ହେବା, ବାନ୍ତିହେବା, ଥକ୍କା ଲାଗିବା ଏବଂ ଭୋକ ନ ହେବା ପରି ଲକ୍ଷଣ ତାଙ୍କଠାରେ ଦେଖାଦେଇଥିଲା। ଏସବୁ ସମସ୍ୟା ଭୋଗିବା ପରେ ଡାକ୍ତରଙ୍କ ନିକଟକୁ ଯାଇଥିଲେ। ୪ ମାସ ଧରି ଔଷଧ ଖାଇବା ପରେ ମଧ୍ୟ କମି ନ ଥିଲା। ଡାକ୍ତରଙ୍କ ନିକଟକୁ ପୁଣି ଥରେ ଯିବାରୁ ଡାକ୍ତର ସ୍କାନ୍ କରିବାକୁ ପରାମର୍ଶ ଦେଇଥିଲେ। ସ୍କାନ୍ରେ ଡାକ୍ତର ଯାହା ଦେଖିଲେ ଆଶ୍ଚର୍ଯ୍ୟ ହୋଇଗଲେ। ଏହି ବ୍ୟକ୍ତିଙ୍କୁ କ୍ଲୋନୋକାୟାସିସ୍ ନାମକ ଇନ୍ଫେକ୍ସନ ହୋଇଥିଲା। ଯାହାର କାରଣ ପାରାସାଇଟ୍ ( ଏକ ପ୍ରକାର ପୋକ)। ଯାହାକୁ ଫ୍ଲାଟ୍ଓ୍ବର୍ମ କୁହନ୍ତି। ଏହି ଓ୍ବର୍ମ ବା କୃମି ପେଟ ଭିତରକୁ ଚାଲିଯାଇଥିଲା। ବ୍ୟକ୍ତିଙ୍କ ଲିଭର ବା ଯକୃତରେ ଅଣ୍ଡା ଦେବା ଆରମ୍ଭ କରିଥିଲା। ପେଟ ଭିତରେ ଏକ ବଡ଼ ଥଳି ବଢ଼ିବାକୁ ଲାଗିଥିଲା।

ଡାକ୍ତରଙ୍କ ଅନୁଯାୟୀ, ଏହି କୃମି ଯେଉଁ ଥଳିରେ ବଢ଼ିଥିଲା, ତାହା ୧୯ ସେଣ୍ଟିମିଟର ଲମ୍ବ ଏବଂ ୧୮ ସେଣ୍ଟିମିଟର ଚଉଡ଼ା ଏବଂ ୧୨ ସେଣ୍ଟିମିଟର ଥିଲା। ଏହି କାରଣ ଯୋଗୁ ଲିଭରରେ ମଧ୍ୟ ଛୋଟ ଛୋଟ ଟ୍ୟୁମର ହୋଇଥିଲା। ତେବେ ଲିଭର ଅପରେଶନ କରିବା ପାଇଁ ଡାକ୍ତର ନିଷ୍ପତ୍ତି ନେଇଥିଲେ। ସେଥିରୁ ଅସଂଖ୍ୟ ଛୋଟଛୋଟ ଅଣ୍ଡା ପାଇଥିଲେ। ଏହି ବ୍ୟକ୍ତିଜଣକ ଏବେ ହସ୍ପିଟାଲରେ ଅଛନ୍ତି। ତାଙ୍କ ସ୍ବାସ୍ଥ୍ୟାବସ୍ଥା ଗୁରୁତର ଥିବା ଡାକ୍ତର କହିଛନ୍ତି।

